chirurgie du pied
Hallux Valgus
Qu’est-ce que c’est ?
C’est une déformation du squelette de l’avant pied qui concerne le gros orteil : celui ci est dévié vers l’extérieur du pied. Cette déformation s’aggrave avec le temps et conduit petit à petit à un conflit douloureux avec la chaussure sur la bosse, appelé « bursite » ou encore « oignon ».
L’évolution naturelle en l’absence de traitement est une répercussion sur les autres rayons avec l’apparition de griffes d’orteil ou de douleurs sous l’avant pied appelées « métatarsalgies ».
Cette pathologie peut être aggravée par le port de certains types de chaussures comme les haut talons ou les chaussures à bout pointus. Certains patients développent la pathologie très jeunes dans ce cas on parle de forme congénitale.
Plus d’information sur la prise en charge de l’hallux valgus
Les causes
Il existe différents facteurs pouvant entraîner un hallux valgus :
- Le sexe : les femmes sont davantage touchées que les hommes, à hauteur de 95%. Ceci est dû à leur plus grande souplesse articulaire.
- La génétique : bien que l’hallux valgus ne soit pas une pathologie héréditaire, il arrive dans un tiers des cas de retrouver des antécédents familiaux.
- L’anatomie du pied : selon la longueur du premier orteil par rapport aux autres, on distingue différentes formes de pieds : les pieds grecs (avec le gros orteil plus court que le 2ème), les pieds carrés (avec les 2 premiers orteils de la même taille) et les pieds égyptiens (le gros orteil dépasse les autres). Plus le gros orteil est long, plus il sera rabattu vers les autres par le port d’une chaussure à bout plus ou moins pointu.
- Le port d’escarpins féminins : ces chaussures à talons hauts et à pointe étroite entraînent une surcharge du poids sur les orteils qui sont également comprimés dans l’étroitesse du soulier.
Il existe également d’autres causes qui peuvent augmenter ces facteurs de risques telles que les pieds plats, un poids trop élevé ou encore la ménopause, la baisse du taux d’hormones féminines induisant une diminution de tonus des ligaments et des muscles.
Les symptômes
Au début, l’hallux valgus n’est généralement pas douloureux.
Le premier symptôme est l’apparition d’une bosse sur le côté extérieur du pied. C’est le fameux « oignon », dû à la déviation de la phalange du gros orteil.
Sans traitement adapté, l’hallux valgus évolue ensuite par poussées douloureuses.
Le frottement des chaussures peut notamment entraîner une inflammation de l’oignon (bursite), qui devient rouge, enflé et douloureux. Porter une chaussure dans ces conditions est extrêmement difficile. Comprimés par le gros orteil, les autres orteils ont tendance à se recroqueviller : on parle de « griffes des orteils », qui conduit généralement à la formation de durillons (ou cors).
L’hallux valgus favorise également l’apparition de l’arthrose du pied.
Le diagnostic
Il est purement clinique.
Des radiographies seront toutefois demandées pour évaluer le degré de déformation avec précision et décider du traitement.
Traitements de l’hallux valgus
Il passe nécessairement pas l’adaptation du chaussage.
Dans les stades débutants à modérés un traitement médical peut être proposé avec différentes orthèses et des médicaments antalgiques qui permettront de ralentir la progression de la déformation.
Quand la gêne est présente et dans les déformations plus importantes, un traitement chirurgical est proposé. Celui-ci consiste à modifier la forme du squelette afin de corriger la déformation. Il existe pour cela différentes techniques qui dépendent de l’importance de cette déformation et des lésions associées.
Pour aller plus loin
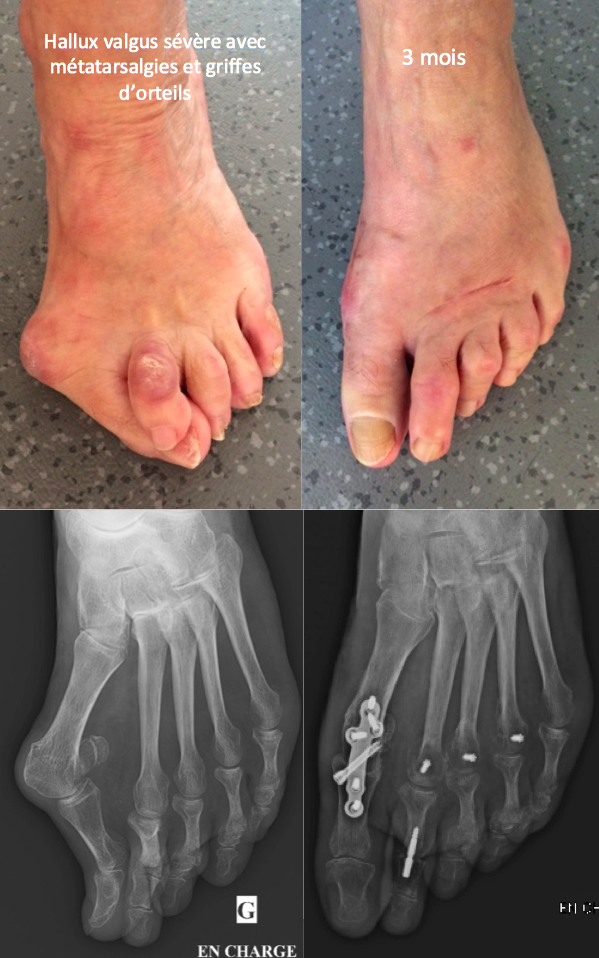
Avant/Après une intervention de l’hallux valgus
Beaucoup d’entre nous sont concernés par l’hallux valgus, déformation du gros orteil qui gêne le chaussage et très peu esthétique.
Aux différents degrés de déformation correspondent différentes techniques chirurgicales permettant de la corriger, de l’ostéotomie courte mini-invasive à l’arthrodèse métatarso phalangienne.
Pour une technique moins invasive et des suites plus simples, il est important de consulter des l’apparition d’une gêne.
Voici quelques photos avant et 3 mois après la chirurgie :
Votre opération de l’Hallux Valgus
Avant la chirurgie
Une fois que la date de l’intervention a été fixée, vous devrez vous procurer en pharmacie la chaussure de protection dont vous aurez besoin pour marcher dès le jour de l’opération. Il s’agit d’une chaussure de « Sober » que vous garderez 4 à 6 semaines.

L’intervention
Il faudra bien penser à apporter vos radiographies et votre chaussure de protection.
L’anesthésie peut être générale ou loco-régionale.
En fonction du geste réalisé elle va durer 30 minutes à 1 heure.
- Le chevron
Il s’agit d’une ostéotomie de réaxation courte du 1er métatarsien qui vise à translater la tête de celui ci vers l’extérieur. Le déplacement est fixé par une vis. - Le « Scarf »
Il s’agit d’une ostéotomie de réaxation longue du 1er métatarsien qui vise à translater la tête de celui ci vers l’extérieur. Le déplacement est fixé par une ou deux vis. Cette technique s’applique pour les déformations sévères. - L’ostéotomie de la 1ère phalange
Elle peut être « varisante » c’est à dire qu’elle bascule l’orteil vers l’intérieur du pied, raccourcissante en cas de pied égyptien, de dérotation en cas de trouble de rotation. - L’ostéotomie de recul des métatatarsiens latéraux (Weil)
Pratiquée en cas de métatarsalgies, cette ostéotomie permet de reculer les têtes métatarsiennes de quelques millimètres. Elles sont ensuite fixées par une vis. Elle nécessite une petite cicatrice complémentaire sur le dos du pied. - L’arthrodèse d’orteils
Pratiquée en cas de griffe d’orteil, on résèque l’articulation entre les deux phalanges les plus hautes de l’orteil pour faire fusionner les deux phalanges entre elles à l’aide d’un implant.
L’intervention se termine par le pansement qui est assez volumineux au début et que vous pouvez laisser en place une semaine.



Apres l’intervention
La marche est autorisée avec la chaussure de protection dès le jour de l’opération. Toutefois il est fortement recommandé de ne pas trop marcher les 3 premières semaines. Le repos, la glace et la surélévation du pied permettront d’accélérer la résorption de l’œdème. Celui-ci persiste habituellement 3 à 6 mois. Si le pied est trop gonflé, l’œdème tire sur la cicatrice et augmente les douleurs post opératoires.
Les médicaments pour la douleur vous seront prescrits. Ils sont assez forts pour vous permettre de bien supporter les premiers jours qui sont réputés douloureux après cette opération. Veillez à bien respecter la prescription :
- DOLIPRANE 1000 : 1 comprimé toutes les 6 heures
- Avec CONTRAMAL 50 : 1 comprimé toutes les 6 heures
- Si possible : PROFENID 100 MG matin et soir pendant 10 jours, toujours avec le MOPRAL 20mg le soir
- Si avec cela les douleurs persistent, vous pouvez prendre OXYNORM 10mg 1 cp toutes les 4 à 6 heures les premiers jours.
L’auto rééducation est essentielle afin de limiter l’enraidissement des articulations. Elle commence dès que la douleur le permet quelques jours après l’intervention et consiste à manipuler les orteils pour les faire tendre et plier. Un autre exercice conseillé est de mobiliser les orteils en dessinant avec ceux ci les lettres de l’alphabet par exemple.
Le 1er gros pansement peut être laissé la première semaine, puis celui-ci doit être fait deux fois par semaine après la première semaine. Il pourra vous être prescrit un espaceur inter orteil pendant les 6 semaines de cicatrisation des tissus afin de simplifier les pansements.
En cas de grande déformation avec de multiples gestes de correction, le chirurgien pourra vous demander de venir à la clinique pour faire les pansements lui même.

Après les 6 semaines de cicatrisation vous serez convoqué pour une consultation de contrôle avant laquelle il faudra réaliser une radiographie afin de vérifier la consolidation. Si tout va bien la marche sera reprise à ce moment la avec un chaussage souple.
En cas de besoin ou de question, n’hésitez pas à nous en parler.
Risques et complications
Parmi les plus probables, on compte :
- L’œdème : Il est constant et sa présence est normale durant les 6 semaines post opératoires. Parfois, un gonflement de l’avant-pied peut persister plus longtemps et nécessiter des massages drainant.
- L’infection : C’est une complication très rare qui nécessite, si elle survient, un drainage chirurgical ainsi que la prise d’une antibiothérapie au long cours.
- La raideur articulaire : La raideur de l’articulation métatarso-phalangienne est normale durant les premiers mois, toutefois celle-ci peut se prolonger. Le recours à des soins de physiothérapie et à éventuellement une ou 2 injections de cortisone peuvent être nécessaires.
- L’algodystrophie : Ce syndrome entraînant douleurs, raideur et décalcification sont possibles pour toute chirurgie de l’avant pied. Un traitement par calcium injectable sera nécessaire. L’évolution peut demander plusieurs mois d’évolution.
Troubles de la sensibilité du gros orteil : C’est une complication rare qui est généralement due à l’œdème post-opératoire. La récupération se fait progressivement en plusieurs semaines.
Qui consulter ?
Dr Caroline DEBETTE
Les actualités des chirurgiens orthopédiques de l’Infirmerie Protestante
Retrouvez ici les dernières informations de notre service : avancées médicales, innovations chirurgicales, conseils de prévention, et temps forts de l’équipe. Restez informé de ce qui fait évoluer la chirurgie orthopédique.
Aucun résultat
La page demandée est introuvable. Essayez d'affiner votre recherche ou utilisez le panneau de navigation ci-dessus pour localiser l'article.