- Accueil
- Chirurgie du membre supérieur
- Chirurgie du coude
- Traumatologie spécialisée : Fractures du coude
chirurgie du coude
Traumatologie spécialisée : Fractures du coude
Qu’est-ce que c’est ?
Les fractures autour du coude sont la plupart du temps articulaires pouvant entraîner une raideur à moyen terme et une dégénérescence arthrosique à long terme de cette articulation. De ce fait, le traitement se doit d’obtenir une restitution la plus parfaite et stable possible de l’articulation permettant de réaliser une rééducation précoce et d’éviter les complications.
On vous informe sur les fractures du coude
Fracture de la palette humérale
Une ostéosynthèse stable par plaques est souvent nécessaire. Le montage doit être stable pour permettre la rééducation immédiate afin de lutter contre l’enraidissement articulaire.
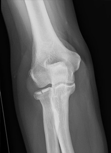
Fracture de la tête radiale
le traitement diffère selon les stades, en fonction du déplacement et du nombre de fragment.
On distingue le traitement fonctionnel pour les fractures peu déplacées : écharpe coude au corps à visée antalgique à 10 jours et mobilisation précoce du coude.
Et le traitement chirurgical pour les fractures déplacées : ostéosynthèse par vis enfouies, plaque ; ou remplacement de la tête radiale par une prothèse dans les cas où la tête radiale n’est pas réparable.

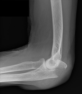
Fracture de l’olécrane
En plus de la fracture articulaire, la fracture de l’olécrane correspond à une interruption de l’appareil extenseur du coude. Les fractures déplacées nécessitent une ostéosynthèse adaptée à la fracture : par broches et hauban, par ostéo suture ou par plaque vissée en fonction de l’âge, de la qualité osseuse et de la taille des fragments.
En sus de ces lésions osseuses, il faut être particulièrement vigilant aux lésions ligamentaires associées qui nécessitent une prise en charge spécialisée.

Chirurgiens du membre supérieur
Dr Thaïs GALISSARD
Dr Morgane LE CHATELIER RIQUIER
Dr Marion BURNIER
Dr Maxime CIEVET-BONFILS
Les actualités des chirurgiens orthopédiques de l’Infirmerie Protestante
Retrouvez ici les dernières informations de notre service : avancées médicales, innovations chirurgicales, conseils de prévention, et temps forts de l’équipe. Restez informé de ce qui fait évoluer la chirurgie orthopédique.
Aucun résultat
La page demandée est introuvable. Essayez d'affiner votre recherche ou utilisez le panneau de navigation ci-dessus pour localiser l'article.