Sélectionner une page

chirurgie de la hanche

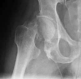
Fracture du col du fémur

Qu’est-ce que c’est ?

La fracture de l’extrémité supérieure du fémur survient après un traumatisme, en général il s’agit d’une chute au sol. La zone concernée peut être le col du fémur, ou le « massif trochantérien » situé en dessous du col du fémur.

Diagnostic

La douleur est immédiate, localisée dans le pli de l’aine ou sur la partie latérale de la fesse et de la cuisse selon la localisation de la fracture.

La marche est impossible et il existe en cas de déplacement une position vicieuse du membre inférieur qui est raccourci en rotation externe.

Le diagnostic est affirmé sur la radiographie du bassin et de la hanche qui montre la fracture et sa localisation

Traitement

Celui ci est presque toujours chirurgical, afin de permettre la verticalisation et la marche le plus rapidement possible.

Pour la fracture du col du fémur, en dehors de la fracture dite « engrainée », le traitement consiste en la mise en place d’une prothèse de hanche. Celle-ci peut être « totale » ou « intermédiaire » c’est à dire ne remplacer que la tête fémorale. L’avantage de cette chirurgie est qu’elle permet la reprise de la marche dès le lendemain de l’intervention.

Exceptionnellement lorsque la fracture est non déplacée voir « engrainée » c’est à dire impactée, on peut essayer de réaliser un traitement orthopédique ou un vissage du col fémoral.

Concernant la fracture per-trochantérienne, celle-ci relève toujours d’un traitement chirurgical qui consiste en une « ostéosynthèse », c’est à dire à la mise en place de matériel pour fixer la fracture. La mobilisation est autorisée tout de suite après l’intervention, mais l’appui sur le membre opéré est généralement proscrit pendant quelques semaines.

Qui consulter ?

Dr Julien ROGER

En savoir plus

Les actualités des chirurgiens orthopédiques de l’Infirmerie Protestante

Retrouvez ici les dernières informations de notre service : avancées médicales, innovations chirurgicales, conseils de prévention, et temps forts de l’équipe. Restez informé de ce qui fait évoluer la chirurgie orthopédique.

Toutes les actualités

Prochaine parution dans la revue Maîtrise Orthopédique

Prochaine parution dans la revue Maîtrise Orthopédique

Le Dr Julien ROGER, chirurgien orthopédiste spécialisé dans la chirurgie de la hanche et du genou, annonce la prochaine parution d’un article scientifique co-rédigé avec le Dr Nicolas BONIN dans la revue Maîtrise Orthopédique. Cet article, intitulé : « Tendinite...

lire plus
Prothèse totale de la hanche à Lyon

Prothèse totale de la hanche à Lyon

La prothèse totale de la hanche est une intervention chirurgicale fiable et éprouvée qui permet de soulager efficacement les douleurs liées à l’arthrose sévère ou à d'autres pathologies articulaires de la hanche. À l’Infirmerie Protestante de Lyon, nos équipes...

lire plus